腰痛治療の深化

HOME | 腰痛治療の深化
2025.12.18

明けましておめでとうございます。本年もよろしくお願い致します。

新年の予約ですが、1/1から1/4までの予約が予想よりも早く埋まりましたので予約時間可能時間を増やしたいと思います。
1月1日木曜  変則  午前中のみ予約可
1月2日金曜  変則  午前中のみ予約可
1月3日土曜  変則  午前中のみ予約可
1月4日日曜  変則  9:00~17:00
1月5日月曜  通常診療9:00~20:00

2025.11.6

初診料の値上げ及び、埼玉院院長の東京での施術開始について

最近は、難治例の方が増え、画像データを持参される方も多く、初診のあとかなり時間をさいて治療計画を立てることが増えてきました。皆様には大変申し訳ありませんが、令和8年1月より初診料を上げさせていただきます。
再診に関してはしばらくそのままの金額で対応いたします。
ご理解よろしくお願いします。
初診: 13,200円→15,000円
再初診:12,100円→13,500円
再診: 9,900円(変更なし)  全て税込

※埼玉院の院長が休診時間を利用して、東京での診療を始めます。そちらに関しては、現在の金額よりもお安くなりますので、合わせてご検討ください。

2025.10.10

臨床ブログを更新しました

学生時代から学び始めた徒手療法も20年が経ち、開業して15年が経過した今、難治例の仙腸関節の数々を振り返りながら、今なお診ている方の手がかりを探したいと思います。
仙腸関節治療の深化

2025.7.30

臨床ブログを更新しました

すべり症による脊柱管狭窄症を拝見することはかなり多いですが、今回は少し異例の状態だったので症例報告いたしました。
腰椎の手術後でも再発した足の痺れ

2025.7.9

臨床ブログを更新しました

一般的にも知られている「梨状筋症候群」ですが、専門家の間では、「深部臀部症候群」という名称に変更して考えられています。というのも梨状筋由来ではない、同様の臀部や大腿部の痺れや痛みの症状がかなり多いためです。
座るのが痛い 坐骨の痛み 深部臀部症候群

2025.7.7

臨床ブログを更新しました

大腿骨寛骨臼インピンジメントFAIにおいて、勧められる運動療法があります。それが骨盤の後継運動です。今回ご報告するのは、その運動によって仙腸関節の不安定が起こり、難治性の仙腸関節炎になった症例です。
仙腸関節の痛みとFAI(インピンジメント)の関連 鼠蹊部と臀部の痛み

2025.6.22

臨床ブログを更新しました

「爪先立ちができない」という脛骨神経麻痺は腓腹筋の筋力低下によって起きます。腓腹筋は神経支配比が全身に存在する筋肉の中でも以上に高い数値を誇っています。
そのため、神経に障害が起こると著しく筋力低下を起こしてしまいます。今回はその腓腹筋の麻痺についての症例です。
爪先立ちができない 脛骨神経麻痺の症例

2025.4.22

臨床ブログを更新しました

「座っていられない」という症状の方の中には、坐骨周辺の痛みを抱えている方がいらっしゃいます。今回は坐骨大腿インピンジメントの症例について報告します。
座っていられない 坐骨周辺の痛み

2025.1.28

臨床ブログを更新しました

症状が一つという方はどちらかといえば少数派で、ほとんどの方が複数の症状を抱えています。神経治療において隣接する分節の障害がある場合、治療の難易度が上がります。そんな症例を紹介します
頚椎症性神経根症・脊髄症 痛みと痺れの原因を読み解く

2025.1.17

臨床ブログを更新しました

骨盤帯痛や仙骨痛とセットにされやすい陰部神経痛ですが、絞扼神経障害なので、神経の走行に沿って圧迫部位を見つけることで改善できます
症例:陰部神経痛(肛門痛)と仙腸関節障害

2024.10.5

臨床ブログを更新しました

リバース型人工肩関節置換術の術前・後のケアをさせていただいたので症例報告いたします。
リーバス型人工肩関節置換術のフォロー

2024.3.18

臨床ブログを更新しました

変形性膝関節症に発展しやすい病態として近年注目されている「内側半月板後根損傷MMPRT」の症例についてです。
症例:内側半月板後根損傷 MMPRT

Treatment For low back pain

腰痛症に対する治療

腰痛治療の深化

正しく身体の状態を読み取ることができれば体は良くなります。
この「正しく読み取る」という作業を一生涯通して我々は学んでいくのですが、
近年の画像診断技術の恩恵を我々も受けることができ、
少しずつ誤差を修正することができてきました。

また角度を変えてみることで今まで行き届かなかった神経の走行部分にも手からの情報で想像できるようになってきたことは、
この時代にこの仕事に携わることができて良かったと思える点です。

この数年の臨床知を一部ご紹介することで、
当院での腰痛治療について知っていただけたら幸いです。

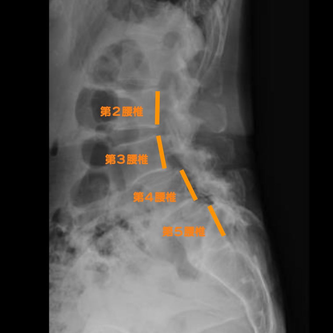
腰椎椎間板ヘルニア・椎間板症Modic変性TypeⅡ(腰部脊柱管狭窄症)


症例:腰部脊柱管狭窄症(椎間板ヘルニア)の診断を受けていた50代の男性
 
体を起こすと臀部に痛みが出現。歩行はひどい時は数分歩くと痺れてしまう。いわゆる脊柱管狭窄症の典型的な症状「間欠性跛行」です。
 
L4/5上下の椎体終板はモヤがかかったようになっており、白い高信号領域があることからModic変性TypeⅡであることが予想されます。(※個人的見解)
 
MRI画像から拝見するにL3/4、L4/5の椎間板ヘルニアと椎間孔の圧迫がありました。特にModic変性のあるL4/5の椎間孔が狭く、中を走る神経の圧迫はかなり高い確率で起こっていそうです。
 
L3とL4の椎体前壁に段差があるため、一瞬滑り症も疑われますが、椎体後壁にはズレがないことから椎骨の回旋によって前壁の部分の前後がずれていたことが予測できます。(※個人的見解)
 
触診で回旋のズレを修正することで体を起こすことも可能になり、歩行はもちろん走ることも可能になりました。
 
治療結果からの考察:
第3腰椎と第4腰椎は強く回旋していることで、間の椎間板にストレスがかかり、ヘルニアを起こした。回旋の治療で改善。
第4腰椎と第5腰椎は全体的に椎間板が潰れているので上下の圧迫が強い。椎間関節の上下の滑りを作ることで圧迫を減少させ改善。

椎間板変性(Modic変性TypeⅠ)


症例:40代男性 脊柱管狭窄症と診断
横になると痛みが出現し、一度立ってしまうと安定するという症状。
ただ運動などの負荷では痛みが出現するため安静を続けるも悪化を来していたところ来院に至る。
屈む動作や回旋・側屈全てで主に仙腸関節に痛みがある。
 
画像を拝見すると第5腰椎と仙骨の間の椎間板が消失するくらいに潰れている。椎間板変性はModic変性のタイプ1といったところでしょうか。
Scmorl結節らしき初見も見えるため、椎体内ヘルニアも存在していたかもしれません。(個人的見解)
 
横になると仙腸関節に痛みが走っていたのは、この腰仙関節の変性が原因のように思い、腰仙関節を慎重に離開し、続いて仙腸関節を調整し徐々に改善。運動も徐々に再開していくことができました。
 
仙腸関節についての詳細はこちら

 

腰椎分離すべり症 脊柱管狭窄症


症例:腰椎分離すべり症 脊柱管狭窄症 50代女性
分離すべり症があり、25%ギリギリなので恐らくグレード1でしょうか。
ただし、脊柱管の圧迫は強く歩行距離も調子が悪いとすぐに休まないといけない程度でした。
 
確かに滑り症はあるものの、腰椎の回旋を示唆する初見が触診でも画像上でも見られたため、回旋状態を改善すると歩行距離は伸びていきました。
 
分離滑り症と腰椎の回旋が神経痛を起こす原因はこちらで説明しました

 
 
 

変形性側弯(椎体回旋)


※画像をクリックでこの側弯の動画に飛びます。
70代 女性 変形性腰椎症 脊柱管狭窄症
椎体が大きく向きを変えているため、椎間関節が変形しています。
この場合は、丁寧に見ていかないと、側湾を改善させようとして痛みを誘発する恐れがあります。
改善できるポイントと危険を伴うポイントとを丁寧に分別して治療を進めていきました。
 
他の側弯症については他のページで説明していますので、そちらをご参照ください。

 

症例:仙腸関節障害 坐骨神経痛

ゴルファーで右の腰痛と坐骨神経痛に苦しんでいました。しかし背景に左の仙腸関節障害が潜んでいました。
原因となっていた腰椎の回旋や坐骨神経痛を起こす梨状筋の過緊張の背景に仙腸関節障害がありました。

症例:滑り症による脊柱管狭窄症

歩いていると両太もも裏が痺れ、長く歩けない(間欠性跛行)。座って立ち上がると腰が起きないで屈んだ姿勢にしばらくなってしまう。第5腰椎に対しての第4腰椎が滑り、さらに第4腰椎に対して第3腰椎が滑っていました。

外側大腿皮神経障害

太ももの外側を支配する神経は「坐骨神経」ではなく「大腿神経」の領域となります。
3Dモデリングを用いて、症例検討しましたのでご紹介します。

脊柱管狭窄症 第3腰椎滑り症

MRI初見と触診から得た情報も元に3Dモデリングを用いて治療の計画を立てることもあります。

脊柱の検査と治療

Technique

脊柱の検査と治療

検査は、SLRテスト(坐骨神経痛の評価)など一般的な理学検査や前屈や側屈などの可動域検査をまずは行います。
(※画像所見を持っていただいている方はそちらも参考にさせていただきます。)
理学検査によって予測された病態(痛みの原因)に対して、その病態を起こすに至る原因を次に分析しなければなりません。
 
モーション・パルペーション(動きの触診)と呼ばれる徒手検査によって1つ1つの関節の動きを検査し、病態に至るまでの経緯を予測していきます。
 
それからモビライゼーションと呼ばれる優しく関節を動かす方法で調整していきます。

Our Clinic

当院概要

所在地

東京都港区芝5−27−5山田ビル503

埼玉院:さいたま市中央区下落合1013-1スピカビル2階

最寄駅

JR田町駅 徒歩2分
都営地下鉄三田駅 A3出口 徒歩1分

料金

初診:15,000円(税込)

再診(2回目以降)9,900円(税込)

再初診(前回から2ヶ月経過した場合):13,500円(税込)
クレジットカード対応可 Visa , Master , JCB , Amex

高校生以下は2000円割引します。

訪問(出張)による施術を希望される方は施術代22,000円(初診の場合は+5,000円)+交通費(※施術人数によって施術代はお安くなります)

キャンセルポリシー:予約の変更またはキャンセルに対して、予約前日の場合は50%、当日の場合は100%のキャンセルフィーを頂戴しております。

駐車場

利用条件はこちらをご参照ください。

駐車場利用許可証をお渡ししますので事前にご連絡ください

休み

日・祝 休み
金 午前休み

受付時間

午前:  9:30〜14:00
午後:14:00〜20:00
受付時間外の予約も可能ですので、通勤帰りなどもご相談ください。

連絡先

電話:03-6435-2437
Email:nishimura.ac.chiro@gmail.com

Web予約はこちら

Square Web 予約

LINE@:LINEからのご予約・ご相談

LINE登録

大阪での施術や埼玉院での施術をご希望される方はLINEかメールお電話にてご相談ください

 

当院の外観・内観